Ortodoncia invisible en Xàtiva
Financiación
La Ortodoncia Invisible en Xàtiva es una decisión importante y queremos que puedas tomarla con tranquilidad.
Por eso ofrecemos opciones de financiación adaptadas, explicadas con claridad desde la primera visita.
Nuestro objetivo es que sepas desde el principio qué incluye el tratamiento y cómo se puede organizar el pago, sin presiones ni sorpresas
- Planes cómodos y flexibles
- Sin sorpresas ni letra pequeña
- Todo bien explicado antes de empezar
Decidir también forma parte del tratamiento
La Ortodoncia Invisible en Xàtiva no es solo una cuestión estética.
Es un proceso que requiere planificación, constancia y entender bien cada fase antes de empezar.
Por eso hemos creado el Libro Blanco de la Ortodoncia Invisible, un documento pensado para ayudarte a tomar una decisión informada, con calma y sin presiones.
Qué encontrarás en el libro blanco
Cómo funciona realmente la ortodoncia invisible
-
Qué resultados se pueden esperar y en qué plazos
-
Qué papel juega la constancia en el éxito del tratamiento
-
Cómo se cuidan las férulas en el día a día
-
Mitos y errores habituales
-
Preguntas clave antes de iniciar un tratamiento
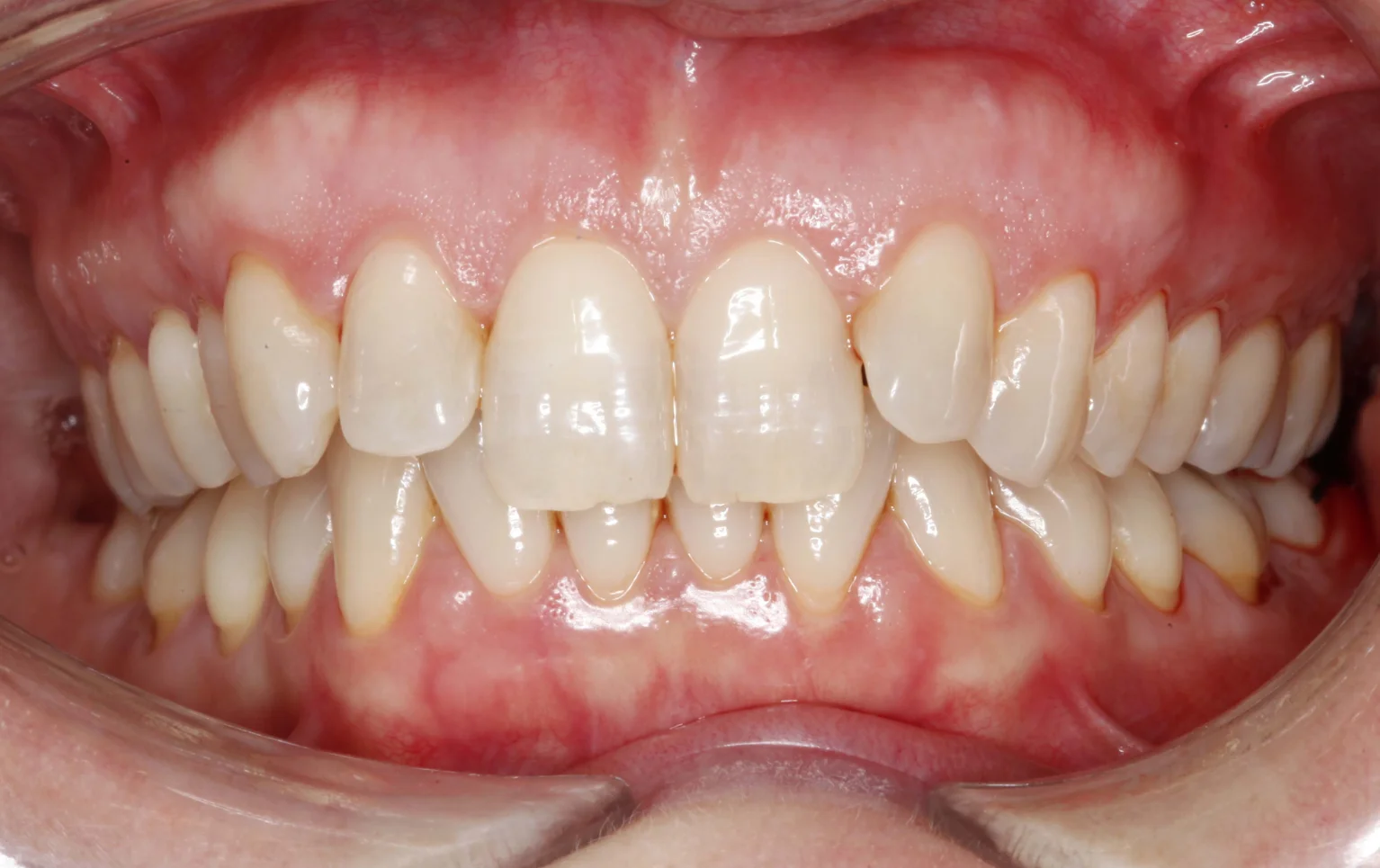
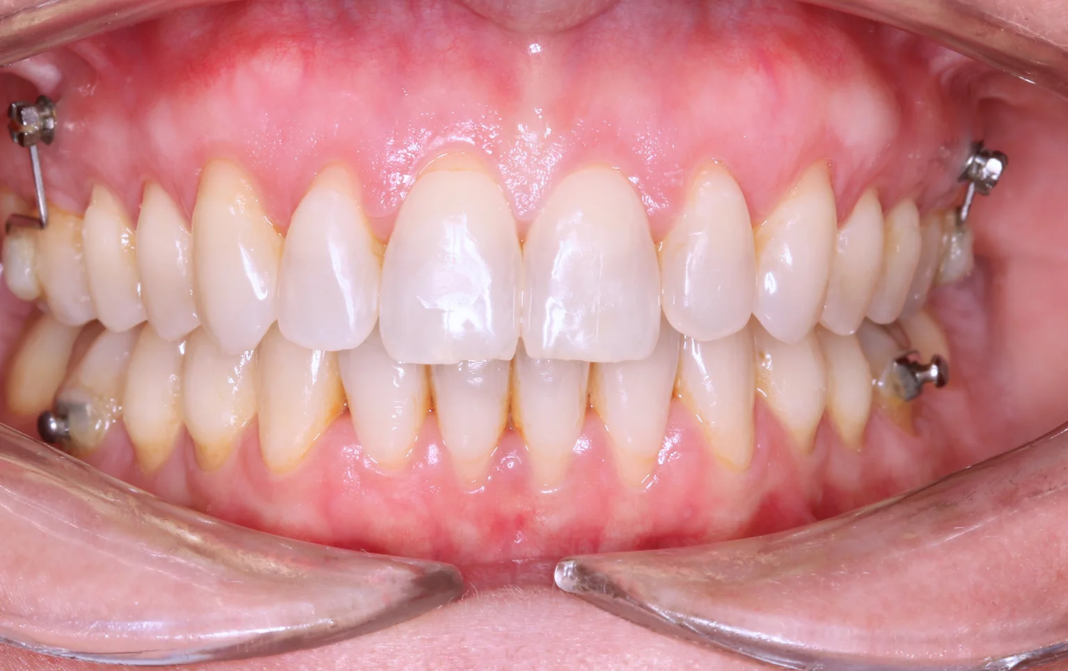
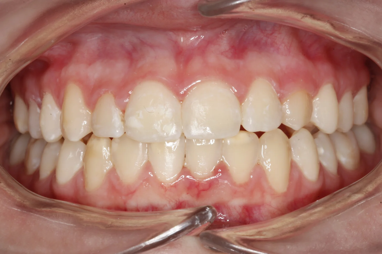
Casos reales de ortodoncia invisible


Una ortodoncia pensada para tu día a día
Los alineadores son transparentes y pasan desapercibidos en tu día a día.
Puedes quitarlos para comer o en momentos puntuales, sin interferir en tu rutina..
Permite cepillado normal y una limpieza cómoda de las férulas.
Todo el tratamiento se diseña antes de empezar, para saber qué esperar.
Te acompañamos durante todo el proceso, resolviendo dudas y ajustando el tratamiento.